Blog
Abnormal Uterus On Ct Scan
numerous bilateral renal cysts
moderate bilateral neural foraminal narrowing l4 l5
mild bilateral exit foraminal stenosis
negara kerjasama bilateral indonesia adalah brainly
narrowing of the bilateral neural foramina
mild bilateral neural foraminal stenosis at l3 l4
moderate bilateral neural foraminal stenosis l5 s1
nonenhancing bilateral renal cysts
Https Pubs Rsna Org Doi Pdf 10 1148 Rg 313105057
Ct Atlas Glowm
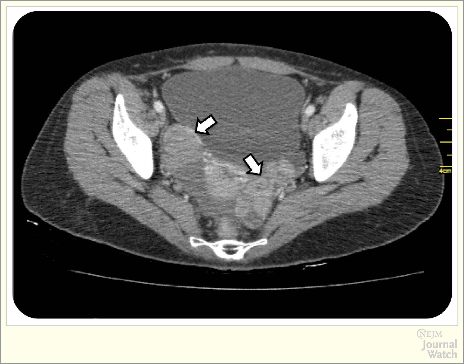
Ct Scan Of The Abdomen Reveals A Uterus U With Dilated Cavity
Ct Atlas Glowm
Abdominopelvic Contrast Enhanced Ct Scans Showing An Enlarged
Gynecologic Cancer Images
Figure 23 From Normal Or Abnormal Demystifying Uterine And
Localized Cavernous Hemangioma Of The Uterus Involving Adenomyotic
Figure 15 From Ct Anatomy Of The Female Pelvis A Second Look
Computed Tomography Imaging Of The Acute Pelvis In Females
Https Pubs Rsna Org Doi Pdf 10 1148 Rg 313105057
Uterus Normal Findings Springerlink
Pet Ct
Uterus Normal Findings Springerlink
Https Pubs Rsna Org Doi Pdf 10 1148 Radiographics 14 1 8128066
Case Challenge Part 2 A Woman With Ataxia And Abnormal Uterine
Which Cancers Can A Pelvic Ct Scan Detect American Health Imaging
Pelvic Organ Prolapse
Differential Diagnosis For Female Pelvic Masses Intechopen
Diseases Of The Uterus Radiology Key
Source :
pinterest.com
Random Posts
Bilateral Axillary Lymphadenopathy Treatment
Bilateral Calf Dvt
Bilateral Blindness Due To Glaucoma Icd 10
Bilateral Chronic Otitis Media Icd 10
Bilateral Borderline Polycystic Ovaries
Bilateral Cervical Lymphadenopathy Treatment
Bilateral Chronic Medical Renal Parenchymal Disease
Bilateral Bubbles Meaning In Hindi
Bilateral Breast Diagnostic Mammogram
Bilateral Bulky Ovaries With Polycystic Morphology
Bilateral Auditory Neuropathy Spectrum Disorder
Bilateral Bazal Ganglionlar Nedir
Bilateral Asymmetric Sacroiliitis
Bilateral Chronic Medical Renal Disease
Bilateral Choroid Plexus Cysts Diagnosis
Bilateral Brain Stimulation Music
Bilateral Bilineal Descent Patterns And Neolocal Residences Are Most Common In Which Type Of Society
Bilateral Axillary Lymphadenopathy Meaning
Bilateral Choroid Plexus Cyst Meaning In Tamil
Bilateral Anterior Hip Replacement