Acoustic Neuroma Unilateral Or Bilateral





Vestibular Schwannoma Acoustic Neuroma Neurofibromatosis Nidcd

Vestibular Schwannoma Acoustic Neuroma Neurofibromatosis Nidcd

Acoustic Neuromas The Thornbury Radiosurgery Centre

Acoustic Neuromas The Thornbury Radiosurgery Centre

Acoustic Neuroma Overview

Acoustic Neuroma Overview

Acoustic Neuroma Treatment And Quality Of Life Mayo Clinic

Acoustic Neuroma Treatment And Quality Of Life Mayo Clinic

What Is A Vestibular Schwannoma

What Is A Vestibular Schwannoma

Acoustic Neuroma Balancemd

Acoustic Neuroma Balancemd

Acoustic Neuroma Balancemd

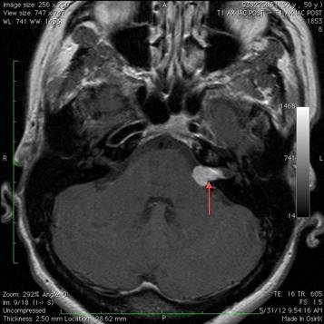
Ninety five percent of acoustic neuroma patients have the tumor in only one ear.

Acoustic neuroma unilateral or bilateral. The tumor comes from an overproduction of schwann cells the cells that normally wrap around nerve fibers like onion skin to help support and insulate nerves. The remaining five percent of patients with tumors in both ears have a genetic disorder called neurofibromatosis 2. A vestibular schwannoma also known as acoustic neuroma acoustic neurinoma or acoustic neurilemoma is a benign usually slow growing tumor that develops from the balance and hearing nerves supplying the inner ear. It can be unilateral but is usually bilateral.

Schwann cells normally wrap around and support nerve fibers. Branches of this nerve directly influence your balance and hearing and pressure from an acoustic neuroma can cause hearing loss ringing in your ear and unsteadiness. Conductive hearing loss may be caused by earwax buildup fluid in the middle ear or abnormalities of the inner ear bones. The tumor then presses on the hearing and balance nerves in the inner ear.

All of the aforementioned causes of hearing loss can lead to tinnitus. Acoustic neuroma also known as vestibular schwannoma is a noncancerous and usually slow growing tumor that develops on the main vestibular nerve leading from your inner ear to your brain. As it grows it can also interfere with the facial sensation nerve the trigeminal nerve causing facial numbness. The acoustic neuroma is the most common tumor of the cerebellopontine angle.

As the acoustic neuroma grows it compresses the hearing and balance nerves usually causing unilateral one sided hearing loss tinnitus ringing in the ear and dizziness or loss of balance. The most common presenting symptoms are unilateral sensorineural hearing loss tinnitus and imbalance. It grows slowly from an overproduction of schwann cells and is also called a vestibular schwannoma. Acoustic neuroma is a rare noncancerous tumor.

Hearing Loss Enteducationswansea

Hearing Loss Enteducationswansea

Vestibular Schwannoma Wikipedia

Vestibular Schwannoma Wikipedia

What Is An Acoustic Neuroma Acoustic Neuroma Association Australia

What Is An Acoustic Neuroma Acoustic Neuroma Association Australia

Pin On Medcomic

Pin On Medcomic

Vestibular Schwannoma Acoustic Neuroma Oncology Medbullets

Vestibular Schwannoma Acoustic Neuroma Oncology Medbullets

Vestibular Schwannomas Or Acoustic Neuromas By Another Name

Vestibular Schwannomas Or Acoustic Neuromas By Another Name

Acoustic Neuroma Diagnosis

Acoustic Neuroma Diagnosis

Acoustic Neuroma An Overview Robert A Battista Jill Messina

Acoustic Neuroma An Overview Robert A Battista Jill Messina

Vestibular Schwannoma Wikipedia

Vestibular Schwannoma Wikipedia

Acoustic Neuroma An Overview Robert A Battista Jill Messina

Acoustic Neuroma An Overview Robert A Battista Jill Messina

Bilateral Well Defined Extra Axial Mass Arising From Bilateral Cpa

Bilateral Well Defined Extra Axial Mass Arising From Bilateral Cpa

Acoustic Neuroma Vestibular Schwannomas

Acoustic Neuroma Vestibular Schwannomas

Acoustic Neuroma An Overview Robert A Battista Jill Messina

Acoustic Neuroma An Overview Robert A Battista Jill Messina

Acoustic Neuroma Diagnosis

Acoustic Neuroma Diagnosis

Source : pinterest.com