Bilateral Nephrolithiasis With Right Sided Hydronephrosis





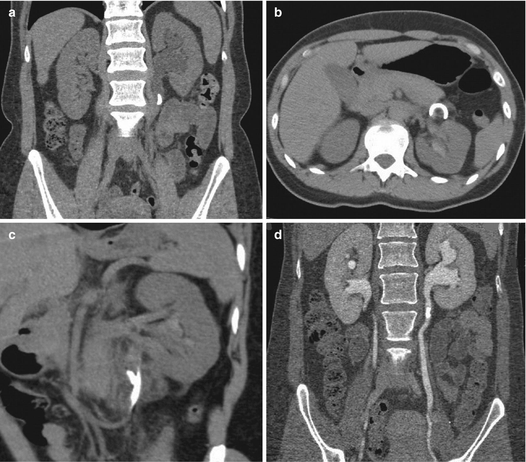
Perioperative Images A Ct Showing Bilateral Nephrolithiasis Three Download Scientific Diagram

Perioperative Images A Ct Showing Bilateral Nephrolithiasis Three Download Scientific Diagram

Nephrolithiasis Youtube

Nephrolithiasis Youtube

Nephrolithiasis Youtube

Nephrolithiasis Youtube

Pelvocaliectasis Definition Of Pelvocaliectasis By Medical Dictionary

Pelvocaliectasis Definition Of Pelvocaliectasis By Medical Dictionary

Hydronephrosis Overview Mayo Clinic

Hydronephrosis Overview Mayo Clinic

Urology 4 Hydronephrosis

Urology 4 Hydronephrosis

Urology 4 Hydronephrosis

What Are Renal Calculi Definition Causes Symptoms Treatment Video Lesson Transcript Study Com

What Are Renal Calculi Definition Causes Symptoms Treatment Video Lesson Transcript Study Com

Renal The American Journal Of Medicine Blog

Renal The American Journal Of Medicine Blog

A Coronal Demonstration Of Bilateral 8 Mm Nephrolithiasis On Download Scientific Diagram

A Coronal Demonstration Of Bilateral 8 Mm Nephrolithiasis On Download Scientific Diagram

Hydronephrosis Definition Treatment Symptoms Causes

Hydronephrosis Definition Treatment Symptoms Causes

Nephrolithiasis Practice Essentials Background Anatomy

Nephrolithiasis Practice Essentials Background Anatomy

Nephrolithiasis Treatment Management Approach Considerations Emergency Management Of Renal Colic Surgical Care

Nephrolithiasis Treatment Management Approach Considerations Emergency Management Of Renal Colic Surgical Care

Emdocs Net Emergency Medicine Educationrenal Colic Mimics Differential Diagnosis And Approach To Management Emdocs Net Emergency Medicine Education

Emdocs Net Emergency Medicine Educationrenal Colic Mimics Differential Diagnosis And Approach To Management Emdocs Net Emergency Medicine Education

Ureteropelvic Junction Puj Obstruction Removal By Dr Anup Kumar Safdarjung Hospital Youtube

Ureteropelvic Junction Puj Obstruction Removal By Dr Anup Kumar Safdarjung Hospital Youtube

Renal Images

Renal Images

Nephrolithiasis Clinical Presentation History Physical Examination Complications

Nephrolithiasis Clinical Presentation History Physical Examination Complications

Kidney Stones Treatment And Prevention American Family Physician

Kidney Stones Treatment And Prevention American Family Physician

Imaging Of Renal Colic Springerlink

Imaging Of Renal Colic Springerlink

Imaging Of Renal Colic Springerlink

Imaging Of Renal Colic Springerlink

Nephrolithiasis Practice Essentials Background Anatomy

Nephrolithiasis Practice Essentials Background Anatomy

Source : pinterest.com