Multiple Bilateral Renal Cysts Radiology





Renal Cyst Radiology Reference Article Radiopaedia Org

Renal Cyst Radiology Reference Article Radiopaedia Org

Renal Lymphangiectasia Know It In Order To Diagnose It

Renal Lymphangiectasia Know It In Order To Diagnose It

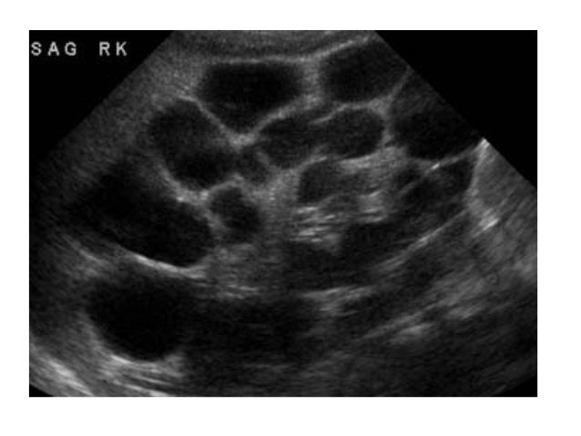
Genitourinary Radiology

Genitourinary Radiology

Renal Cyst Radiology Reference Article Radiopaedia Org

Renal Cyst Radiology Reference Article Radiopaedia Org

Https Pubs Rsna Org Doi Pdf 10 1148 Rg 351130016

Https Pubs Rsna Org Doi Pdf 10 1148 Rg 351130016

Renal Cystic Disease Radiology Key

Renal Cystic Disease Radiology Key

Renal Cystic Disease Radiology Key

Ct And Mr Imaging Of Cystic Renal Lesions Insights Into Imaging

Ct And Mr Imaging Of Cystic Renal Lesions Insights Into Imaging

Renal Relevant Radiology Radiologic Imaging In Autosomal Dominant

Renal Relevant Radiology Radiologic Imaging In Autosomal Dominant

Ct And Mr Imaging Of Cystic Renal Lesions Insights Into Imaging

Ct And Mr Imaging Of Cystic Renal Lesions Insights Into Imaging

Cystic Diseases Of The Kidney Radiology Key

Cystic Diseases Of The Kidney Radiology Key

Bosniak Classification System Of Renal Cystic Masses Radiology

Bosniak Classification System Of Renal Cystic Masses Radiology

The Radiology Assistant Cystic Masses

The Radiology Assistant Cystic Masses

Renal Cyst Wikipedia

Renal Cyst Wikipedia

Https Pubs Rsna Org Doi Pdf 10 1148 Rg 2017160148

Https Pubs Rsna Org Doi Pdf 10 1148 Rg 2017160148

Renal Cystic Disease Radiology Key

Renal Cystic Disease Radiology Key

Ct And Mr Imaging Of Cystic Renal Lesions Insights Into Imaging

Ct And Mr Imaging Of Cystic Renal Lesions Insights Into Imaging

Multiple Pancreatic Cysts With Bilateral Renal Masses Renal Cell

Multiple Pancreatic Cysts With Bilateral Renal Masses Renal Cell

Laparoscopic Renal Cyst Ablation Department Of Urology College

Laparoscopic Renal Cyst Ablation Department Of Urology College

Learningradiology Adult Polycystic Kidney Disease Apkd

Learningradiology Adult Polycystic Kidney Disease Apkd

Diagnostic Imaging Of Renal Cystic Diseases

Diagnostic Imaging Of Renal Cystic Diseases

Source : pinterest.com