What Is The Meaning Of Bilateral Cornual Block





Bilateral Cornual Block Radiology Case Radiopaedia Org

Bilateral Cornual Block Radiology Case Radiopaedia Org

A Bilateral Cornual Block Before Treatment B Patent Bilateral

A Bilateral Cornual Block Before Treatment B Patent Bilateral

A Right Cornual Block Before Treatment B Patent Bilateral Tubes

A Right Cornual Block Before Treatment B Patent Bilateral Tubes

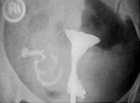
Unilateral Cornual Block Radiology Case Radiopaedia Org

Unilateral Cornual Block Radiology Case Radiopaedia Org

A Bilateral Cornual Block Before Treatment B Patent Bilateral

A Bilateral Cornual Block Before Treatment B Patent Bilateral

Unilateral Cornual Block Radiology Case Radiopaedia Org

Unilateral Cornual Block Radiology Case Radiopaedia Org

Unilateral Cornual Block Radiology Case Radiopaedia Org

Bilateral Cornual Fallopian Tube Block Can Cure With Homoeopathic

Bilateral Cornual Fallopian Tube Block Can Cure With Homoeopathic

Bilateral Cornual Block Hi Sir Or Mam Our Practo Consult

Bilateral Cornual Block Hi Sir Or Mam Our Practo Consult

A Bilateral Cornual Block Before Treatment B Patent Bilateral

A Bilateral Cornual Block Before Treatment B Patent Bilateral

Https Onlinelibrary Wiley Com Doi Pdf 10 1002 J 1879 3479 1979 Tb00451 X

Https Onlinelibrary Wiley Com Doi Pdf 10 1002 J 1879 3479 1979 Tb00451 X

View Image

View Image

Tubal Disease Clinical Gate

Tubal Disease Clinical Gate

Https Onlinelibrary Wiley Com Doi Pdf 10 1002 J 1879 3479 1979 Tb00451 X

Https Onlinelibrary Wiley Com Doi Pdf 10 1002 J 1879 3479 1979 Tb00451 X

Treating Blocked Fallopian Tubes Naturally

Treating Blocked Fallopian Tubes Naturally

Laparoscopy In Infertility Ppt Video Online Download

Laparoscopy In Infertility Ppt Video Online Download

Jaypeedigital Ebook Reader

Jaypeedigital Ebook Reader

Https Www Fertstert Org Article S0015 0282 16 60128 0 Pdf

Https Www Fertstert Org Article S0015 0282 16 60128 0 Pdf

Female Genital Tuberculosis Revisited Sharma Jb Sharma E Sharma

Female Genital Tuberculosis Revisited Sharma Jb Sharma E Sharma

Jaypeedigital Ebook Reader

Jaypeedigital Ebook Reader

In Vitro Fertilization And Embryo Transfer In Female Genital

In Vitro Fertilization And Embryo Transfer In Female Genital

Source : pinterest.com